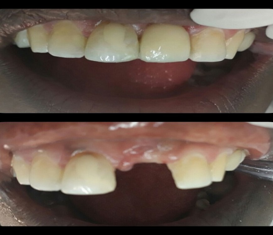
Prótese Adesiva Fixa em Cerômero 28 Fevereiro. 2018 Trabalhos realizados Camila Sanches 0 Comentários Prótese Adesiva Fixa em Cerômero no elemento 21. Trabalho realizado em parceria com a Dra. Jéssika Machado
Comentários (0)
Deixe um comentário